亲爱的读者们,你是否曾在某个闲暇时刻,被手机屏幕上跳动的短视频吸引?没错,说的就是那个让无数人沉迷其中的平台——快手短视频。今天...
你知道吗?在历史的长河中,有些瞬间被永久地记录下来,成为了见证历史的珍贵影像。今天,我要带你穿越时空,一起回顾那段令人难忘的历史...
亲爱的读者,你是否曾在深夜时分,被好奇心驱使,想要探索那些隐藏在黑夜中的秘密?没错,我说的就是那些让人心跳加速、充满神秘感的黑夜...
亲爱的读者,你是否曾想过,那些静态的图片,竟然可以变成栩栩如生的视频呢?没错,这就是我们今天要聊的话题——图片变视频。想象一张张...
你有没有发现,最近超市里多了一种香蕉,它长得有点特别,黄黄的皮肤上还带着一些小黑点,看起来就像是小米粒一样,这就是传说中的小米蕉...
你有没有想过,在互联网的世界里,有一种视频,它不仅仅是为了娱乐,更是一种挑战极限的冒险?没错,我说的就是那些让人心跳加速、肾上腺...
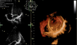
你知道吗?最近在网上流传着一个特别神奇的视频,它记录了心脏跳动的瞬间。这可不是普通的视频,它让我们仿佛能感受到心跳的力量,那种感...
你有没有想过,那些在网络上流传的打小针视频,究竟是怎么回事呢?是不是觉得这些视频既好奇又有点害怕?别急,今天我就带你一探究竟,揭...
你听说了吗?最近网上有个话题炒得火热,那就是“美女搞鸡视频”。这可不是什么轻松的话题,但既然大家都这么关注,那咱们就来聊聊这个现...
你有没有发现,最近网上那些美食制作视频简直让人停不下来啊!从简单的家常菜到复杂的烘焙技巧,每一个视频都像是一个小小的美食魔法师,...